- Advertisement -spot_img
SaúdeInédito! Médico remove tumor cerebral pela sobrancelha de pacientes

Inédito! Médico remove tumor cerebral pela sobrancelha de pacientes

Um neurocirurgião de Grampian, na Escócia, desenvolveu uma técnica inovadora capaz de remover tumores cerebrais do tamanho de maçãs a partir de pequenos cortes nas sobrancelhas dos pacientes. A cirurgia minimamente invasiva deixa cicatrizes muito menores do que as das operações convencionais.

A novidade foi anunciada nesta sexta-feira (25/10) pelo Serviço Nacional de Saúde (NHS) de Grampian. O procedimento já foi feito em 48 pacientes pelo médico Anastasios Giamouriadis.

De acordo com o neurocirurgião, a técnica permite que tumores muito maiores, localizados na parte da frente do cérebro, sejam removidos por incisões pequenas — geralmente do tamanho de um buraco de fechadura.  O método desenvolvido pelo profissional é uma adaptação da laparoscopia, que é um método de cirurgia minimamente invasiva.

A técnica foi endossada pela Sociedade Neurológica Britânica e pela Associação Europeia de Sociedades Neurocirúrgicas. “Eu não inventei esse tipo de cirurgia, mas a modifiquei para me dar mais espaço através da sobrancelha e isso está me permitindo remover tumores cerebrais muito grandes”, afirma o médico em comunicado divulgado pelo NHS Grampian.

Primeira paciente

Doreen Adams, 75 anos, é uma das pacientes de Giamouriadis. A escocesa teve um tumor do tamanho de uma maçã removido pela sobrancelha no ano passado.

denakop.cmd.push(function () {
denakop.displayAd({
divId: “denakop-ad-square-1”,
name: “square”,
adUnit: “mobile_square”,
});
});

Antes disso, a paciente foi submetida a uma craniotomia em outro país, mas a cirurgia não conseguiu remover o tumor. “A recuperação após a craniotomia foi difícil. Contraí sepse, fiquei doente por algumas semanas e a recuperação levou muito tempo. Infelizmente a cirurgia não resolveu o problema e quando voltei para a Escócia, fui encaminhada ao doutor Giamouriadis”, lembra.

Doreen conta ter se recuperado muito bem após passar pela nova cirurgia. “Saí do hospital dois dias depois e voltei à minha vida normal quase imediatamente”, comemora.

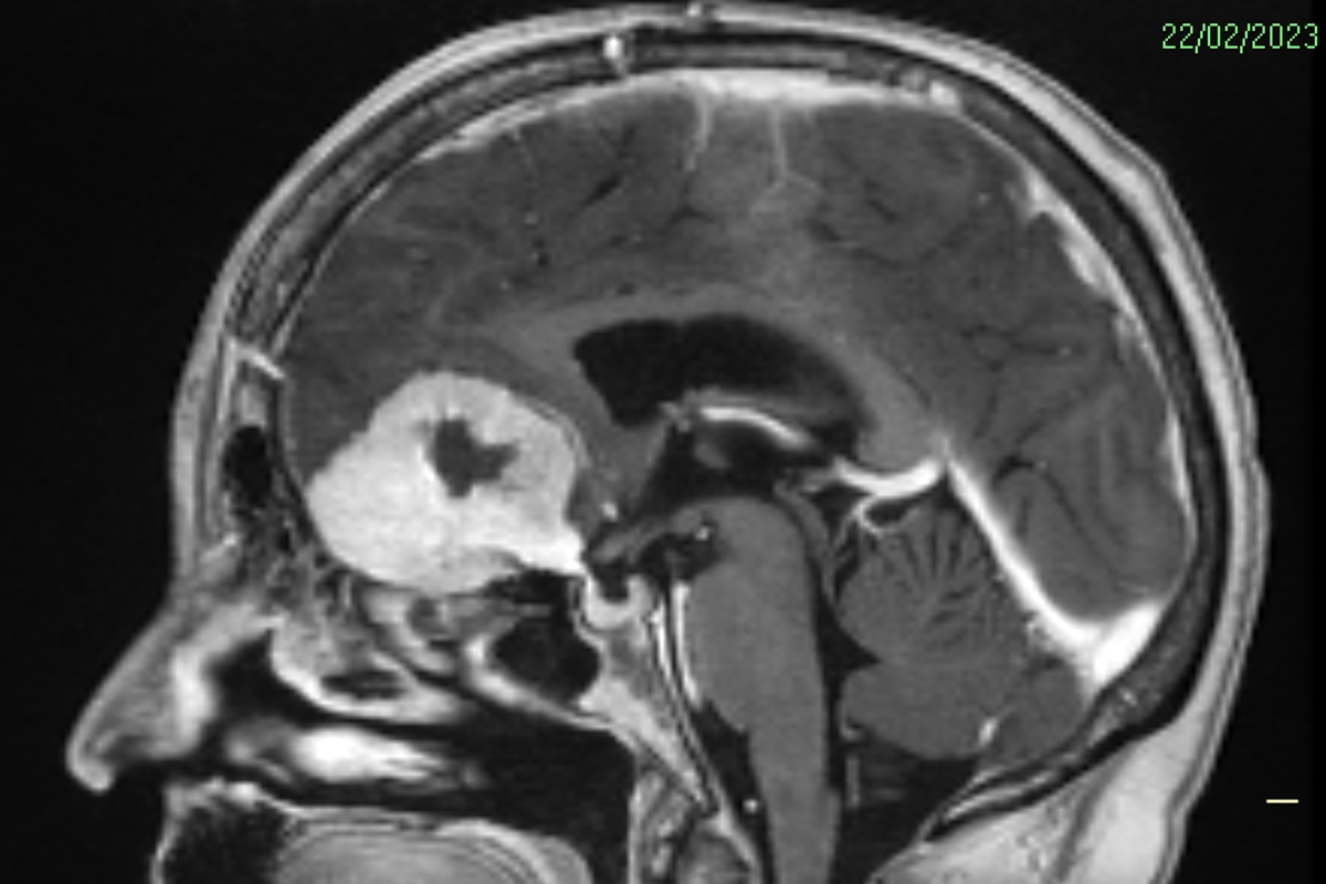
Imagem de cérebro de paciente com tumor - Metrópoles
Imagem de tomografia de Doreen Adams mostra o tumor (massa branca) antes da cirurgia

Cirurgia minimamente invasiva

Além de ser uma cirurgia mais rápida, o tempo de recuperação da nova técnica também é abreviado. Muitos dos pacientes tiveram alta do hospital no dia seguinte e puderam retomar à vida normal dentro de uma a duas semanas.

“Com craniotomias normais e extensas, a duração da operação geralmente é de cerca de oito horas e os pacientes passam dias no hospital. O método através da sobrancelha é mais desafiador tecnicamente, mas provavelmente leva metade do tempo – se não menos”, explica o médico. “É uma virada de jogo e uma cirurgia muito menos invasiva. Tradicionalmente, as pessoas ficariam com cicatrizes em toda a testa, evitamos isso com este método”, continua.

Siga a editoria de Saúde no Instagram e fique por dentro de tudo sobre o assunto!



Fonte: www.metropoles.com

LEAVE A REPLY

Please enter your comment!
Please enter your name here

- Publicidade -spot_img

Artigos Recentes